Overview
Address
Orchard Dental Care, 6 Elm Avenue, Eastcote, Ruislip, Middlesex, HA4 8PD, UK
ORCHARD DENTAL CARE
You can spread the costs of private treatments at this practice using finance options.
About Orchard Dental Care
The practice has been established for over 40 years and has a patient base from many surrounding areas including Pinner, Ruislip, Harrow, Ickenham, Northwood, Rickmansworth, Chorleywood, Gerrards Cross and Watford. At Orchard Dental Care we strive to provide you with the finest dental care which is individually tailored to your needs and requirements. We aim to provide a complete range of dental care in a relaxed and friendly atmosphere. We take pride in providing a personal service in the pursuit of excellence and quality.
Our Gallery
-
Before
After
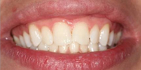
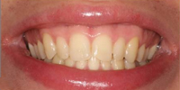
Orthodontic Invisalign
Orthodontic Invisalign
Dr Patel carried out a course of Invisalign 'Invisible' braces treatment which achieved result in about 10 months.
× -
Before
After
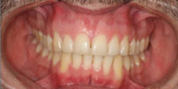
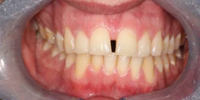
Teeth Whitening
Teeth Whitening
Dr Patel prescribed a two-week course of home whitening followed by an in-surgery whitening procedure which gave the young man just the result he was looking for.
×
Treatments
Treatments We Offer |
Price |
| Cosmetic Dentistry |
Enquire |
| Dental Implants |
Enquire |
| Dental Veneers |
Enquire |
| Full Mouth Reconstruction |
Enquire |
| Gum Contouring |
Enquire |
| Gummy Smile |
Enquire |
| Private Dentist |
Enquire |
| Smile Dentist |
Enquire |
| Smile Makeover |
Enquire |
| Teeth Straightening |
Enquire |
| Teeth Whitening |
Enquire |
| Prosthodontics |
Enquire |
| Root Canal Treatment |
Enquire |
Treatments We Offer |
Price |
| Braces |
Enquire |
| Braces For Adults |
Enquire |
| Clear Braces |
Enquire |
| Damon Braces |
Enquire |
| Fast Braces |
Enquire |
| Inman Aligner |
Enquire |
| Invisalign |
Enquire |
| Invisible Braces |
Enquire |
| Retainers |
Enquire |
| Six Month Smiles |
Enquire |
| Orthodontics |
Enquire |
| Anti Snoring Devices |
Enquire |
| Teeth Grinding |
Enquire |
| Emergency Dentist |
Enquire |
Payment Accepted:
- £ Cash
Cash
-

Major Credit Cards
- Finance
Finance
Book An Appointment
Orchard Dental Care
Click on a time in the calendar to book your appointment.
Book NowAs soon as possible |
Book NowTuesday16 Dec, 2025 |
Book NowWednesday17 Dec, 2025 |
Book NowThursday18 Dec, 2025 |
Book NowFriday19 Dec, 2025 |
Book NowSaturday20 Dec, 2025 |
Closed
Sunday21 Dec, 2025 |
Book NowMonday22 Dec, 2025 |




